
O aneurisma de aorta é uma condição potencialmente fatal, uma vez que pode levar a ruptura ou dissecção deste vaso. Dilatações da aorta (ectasias ou aneurismas) podem acontecer em quaisquer segmentos …
12 AGOSTO 2021

A correção endovascular do aneurisma de aorta abdominal (EVAR) é considerado, de acordo com os principais guidelines, a primeira opção para pacientes portadores de AAA >5.5 cm e razoável expectativa d…
23 JUNHO 2021

Anticoagulantes orais não-antagonistas da vitamina K (NOACs), incluindo o rivaroxaban, são recomendados como a primeira linha de tratamento no manejo de pacientes com tromboembolismo venoso agudo (TVP…
5 AGOSTO 2020
El tratamiento farmacológico de la claudicación intermitente (CI) ha sido objeto de estudio por 30 años. En la actualidad sólo dos drogas (pentoxifilina y cilostazol) tienen registro de la FDA, CE Mar…
15 MARÇO 2019

La Sociedad de Cirugía Vascular (SVS) publicó la primera actualización en 9 años de las directrices para el manejo de pacientes con aneurisma de la aorta abdominal (AAA). Las directrices abordan la co…
2 MARÇO 2019

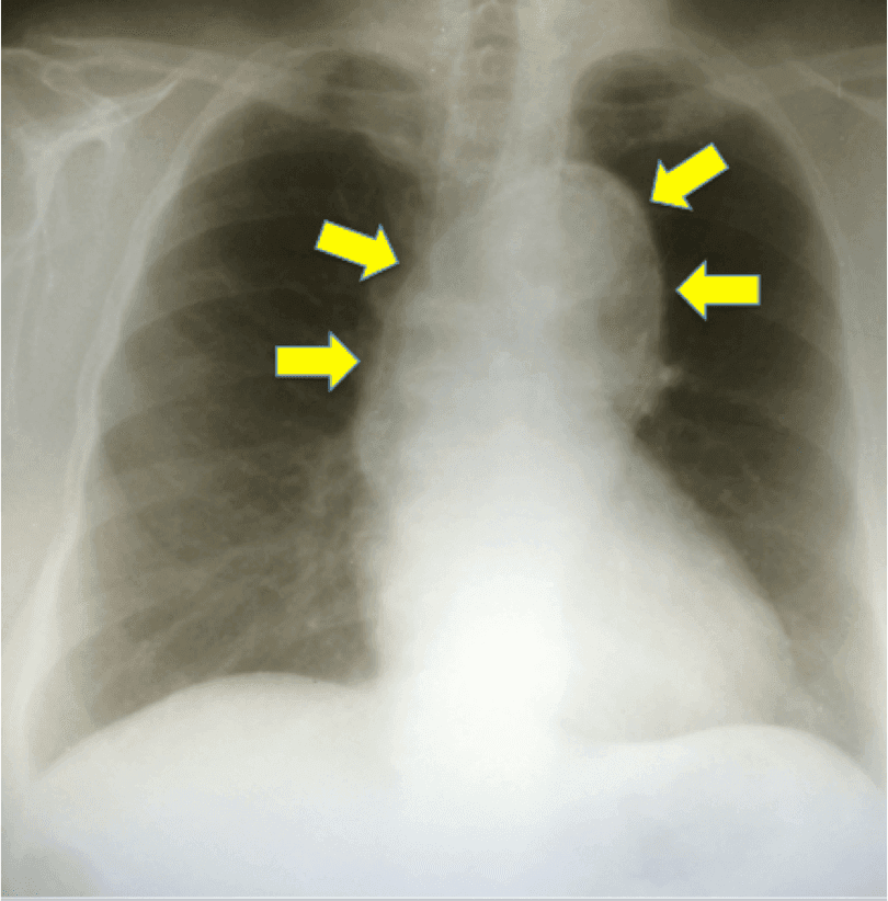
El aneurisma de aorta es una condición potencialmente letal, una vez que puede terminar en la ruptura o disección. La etiología de las dilataciones de la aorta varia conforme su topografía siendo, en …
1 MARÇO 2019

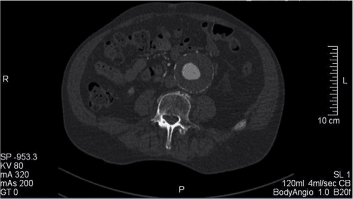
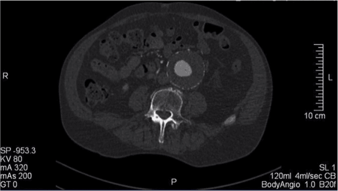
Paciente masculino, 72 años, con queja de dolor abdominal continuo enmesogástrio hace 3 días refractaria a analgésicos convencionales. En el examen físico, se encuentra normal hemodinámicamente y pres…
27 FEVEREIRO 2019

La Enfermedad Arterial Obstructiva Periférica (EAOP) es la tercera más prevalente manifestación de la aterosclerosis después de la enfermedad coronaria y cerebrovascular. Está presente en más de 200 m…
26 FEVEREIRO 2019

A edição de 4 de Dezembro do JACC (Journal of the American College of Cardiology) trouxe uma análise comparativa sobre as diretrizes americana (AHA/ACC) e europeia (ESC/ESVC) sobre o diagnóstico e tra…
16 DEZEMBRO 2018

Paciente masculino, 72 anos, com queixa de dor abdominal contínua em mesogástrio há 3 dias refratária a analgésicos convencionais. No exame físico, encontra-se normal hemodinamicamente e presença de m…
5 MAIO 2018