
Seguem os 10 principais pontos na abordagem da fibrilação atrial (FA) em pacientes internados.1- A FA aguda é definida como aquela detectada no cenário de cuidados intensivos ou doença aguda – isso in…
22 MARÇO 2023

Os DOACs (“Direct Oral AntiCoagulants”) trouxeram um grande avanço na prática clínica. Já fizemos um grande resumo sobre esses agentes nesse post. O quarteto inovador (rivaroXabana, dabigatrana, ApiXa…
12 NOVEMBRO 2021

La prevalencia de fibrilación auricular (FA) aumenta con la edad y es considerada la arritmia responsable por 1 de cada 7 casos de accidente cerebrovascular isquémico. Es sabido, que los casos de ictu…
12 AGOSTO 2021

La prevalencia de fibrilación auricular (FA) aumenta con la edad y es considerada la arritmia responsable por 1 de cada 7 casos de accidente cerebrovascular isquémico. Es sabido, que los casos de ictu…
12 AGOSTO 2021

A prevalência de fibrilação atrial aumenta a prevalência com a idade, sendo a arritmia responsável por 1 a cada 7 casos acidente vascular cerebral isquêmico (AVCi). Os casos de AVCi secundários à FA t…
22 JULHO 2021

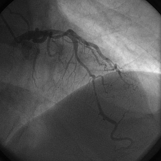
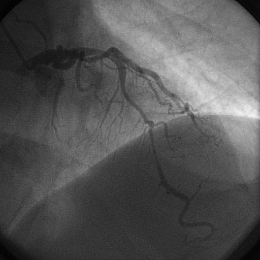
La cinecoronariografía o angiografía coronaria todavía es considerada el método de imagen padrón oro (gold standar) para la valoración de la anatomía coronaria. Desde la primera angioplastía coronaria…
18 FEVEREIRO 2019

A cinecoronariografia ou angiografia coronariana ainda é considerada o método de imagem padrão-ouro para avaliação da anatomia coronariana. Desde a primeira angioplastia coronariana realizada, a angio…
12 OUTUBRO 2018

A fibrilação atrial (FA) é uma afecção clínica extremamente comum. A ocorrência assim como a prevalência da FA é maior na população acima de 75 anos, o que varia entre 8 e 10% nos indivíduos nesta fai…
12 ABRIL 2017

Já vimos em outro post que a onda T invertida em V1 é considerada achado normal. Mas, e se virmos inversão de onda T de V1 a V4? Isso pode ser normal? Há estudos mostrando que tal padrão pode ser encontrado em pacientes afrodescendentes sem indicar anormalidade cardíaca. Contudo, em pacientes de raça branca havia uma carência de dados sobre isto.
9 JANEIRO 2017

Como calcular o risco cardiovascular de seu paciente? Qual o risco dele ter um infarto ou morte de destino cardiovascular nos próximos 10 anos? Quais os melhores escores para isto? Framingham? Reynolds…
7 JANEIRO 2017