Homem de 57 anos, negro, etilista pesado, deu entrada em Unidade de Pronto Atendimento por apresentar desorientação, rigidez cervical e rebaixamento do nível de consciência, necessitando de intubação orotraqueal. Foi transferido para unidade de terapia intensiva onde realizou tomografia computadorizada de crânio que não mostrou lesões focas ou sangramento. Realizada punção lombar: líquor turvo, 0 hemácias/mm3, glicose 14, 560 células/mm3 (91% mononuclear), 291 proteínas mg/dL e baciloscopia negativa. Dessa forma, foi iniciada ceftriaxona, vancomicina e ampicilina.
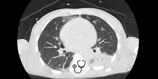
Após oito dias de internação hospitalar, o paciente acordou e foi procedida extubação. Realizada nova coleta de líquor (LCR) com material claro, 3 hemácias/mm3, glicose 56, 72 células/mm3 (60% polimorfonuclear), 75 proteínas mg/dL e baciloscopia negativa. Porém, como mantinha febre e leucocitose, foi realizada tomografia computadorizada de tórax que evidenciou consolidação em base esquerda e peri-hilar no lobo médio direito e segmento superior direito do lobo inferior. A antibioticoterapia foi trocada para meropenem pela possibilidade de infecção nosocomial. As culturas de admissão (líquor, sangue e secreção traqueal) eram negativas.

Diagnóstico final
No sétimo dia de tratamento com meropenem o paciente voltou a apresentar febre, piora laboratorial e desorientação. Foi solicitado ecocardiograma transtorácico que demonstrou endocardite de válvula tricúspide e mitral. A imagem pulmonar anterior foi revista com a equipe de radiologia e concluímos que o quadro, desde a internação do paciente, se tratava de pneumonia, meningite e endocardite tricúspide. Dessa forma, foi realizada PCR para Streptococcos pneumoniae em uma amostra de LCR armazenada na admissão e foi positiva. Assim, fechamos o diagnóstico em síndrome de Austrian.
A síndrome de Austrian foi descrita pela primeira vez em 1881 por Osler e em 1957 Robert Austrian comunicou 8 casos da doença, tendo sido, então, homenageado. A síndrome é composta por uma tríade infecciosa (meningite, pneumonia a endocardite) causada pelo Streptococcos pneumoniae e o abuso de álcool é o fator de risco mais comum. Além disso, a doença é mais comum em homens com mediana de idade de 52,5 anos. A endocardite geralmente acomete o lado esquerdo e valvular nativos e a mortalidade (cerca de 32%) costuma ser ocasionada pelo rompimento valvar.
Veja outros casos clínicos:
- Caso clínico: rebaixamento do nível de consciência em paciente hipertensa e diabética
- Caso clínico: paciente com lesões violáceas disseminadas, diarreia e edema de membros inferiores
- Caso clínico: sorologia IgM, transitória e isoladamente, reagente em paciente sem sintomas
Referência bibliográfica:
- Rodriguez MN, et al. Austrian Syndrome: A rare manifestation of invasive pneumococcal disease. A case report and bibliographic review. Rev Esp Quimioter. 2019 Apr;32(2):98-113. Epub 2019 Mar 15. PMID: 30880376
Autoria

Raissa Moraes
Médica do Instituto Nacional de Infectologia Evandro Chagas/FIOCRUZ ⦁ Mestrado em Pesquisa Clínica pelo Instituto Nacional de Infectologia Evandro Chagas/FIOCRUZ ⦁ Infectologista pelo Instituto Nacional de Infectologia Evandro Chagas/FIOCRUZ ⦁ Graduação em Medicina pela Universidade Federal Fluminense
Como você avalia este conteúdo?
Sua opinião ajudará outros médicos a encontrar conteúdos mais relevantes.

