Formado em Medicina na Universidade Estácio de Sá ⦁ Residência em Clínica Médica pela Universidade Federal Fluminense (UFF-HUAP) ⦁ Cursando residência (R2) de Radiologia e Diagnóstico por Imagem na Universidade Federal do Rio de Janeiro (UFRJ-HUCFF) ⦁ Instagram: philippe_martins28
3 artigos publicados
Familiares negaram febre, espirro e coriza. História patológica pregressa de hipertensão arterial sistêmica e outras condições.
7 JUNHO 2023

Paciente sexo masculino, 61 anos, com quadro de dor abdominal em mesogástrio, sem irradiação, sem febre. Qual é o diagnóstico?
11 OUTUBRO 2020

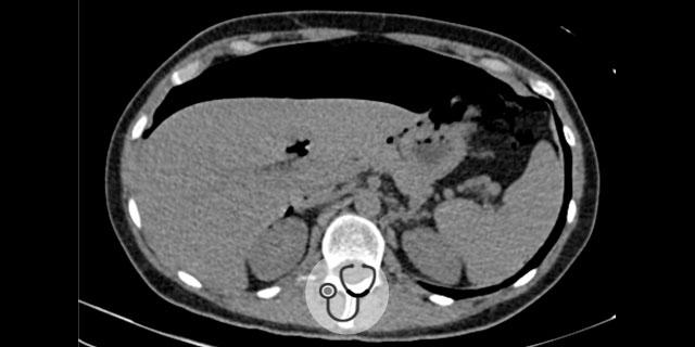
Paciente 50 anos, sexo feminino, dá entrada na emergência relatando dor abdominal no quadrante superior e inferior esquerdo.
17 SETEMBRO 2020