
Recentemente tivemos a atualização dos famosos Critérios de Duke Modificados para o diagnóstico de endocardite infecciosa (EI), publicada na revista Clinical Infectious Diseases, além do lançamento da…
15 SETEMBRO 2023

Enquanto a Copa do Mundo 2022 começava no Catar, era publicada no JACC uma revisão campeã sobre o estado da arte na abordagem da doença de tronco da coronária esquerda significativa, isto é, com esten…
23 DEZEMBRO 2022

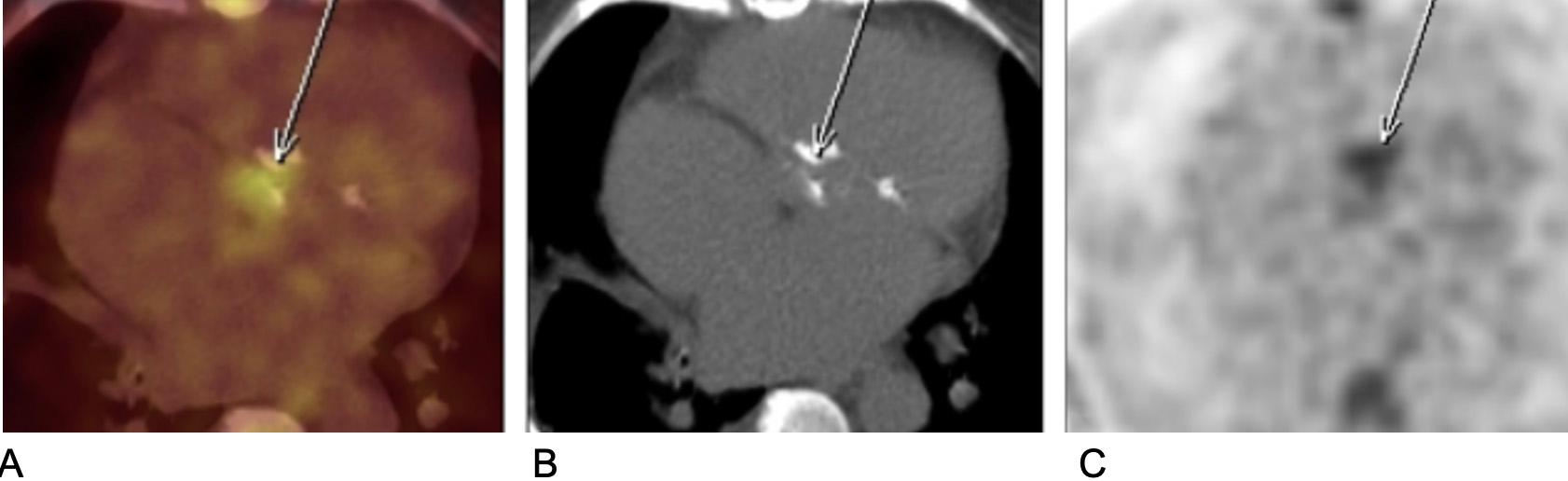
Segundo a sub-análise publicada recentemente no JACC Adv sobre o estudo DISCHARGE, sim1.Esse ensaio clínico se propôs a avaliar se a angiotomografia de coronárias seria superior ao cateterismo na ava…
1 DEZEMBRO 2022