Sou médico clínico geral e cardiologista, atualmente atuando na área de terapia intensiva, ambulatorial, assistência em enfermaria e coordenação médica. Trabalho no Hospitais Santa Casa em Barra Mansa e na Unidade Cardiointensiva do Hospital São Lucas em Copacabana.
52 artigos publicados
Paciente foi atendido e medicado com analgésicos, melhorando a dor apenas após opioides. Confira o caso completo.
7 SETEMBRO 2023

Paciente estava hipocorada (++/4+) hipertensa e taquicardica com discreto esforço respiratório. Confira o caso completo.
6 JULHO 2023

Confira este caso clínico completo de um paciente com dois dias de vida apresentando quadro de parada cardíaca.
27 ABRIL 2023

Teste seus conhecimentos com o Quiz PEBMED sobre medicamentos a serem interrompidos antes do processo cirúrgico.
15 FEVEREIRO 2023

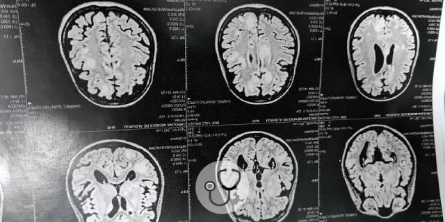
Paciente sem comorbidades conhecidas, eutrófico, IMC de 28, apresenta hemiparesia braquio-crural esquerda durante atividade laboral.
27 JANEIRO 2022

Paciente vitima de projétil de arma de fogo no abdome e coxa, com importante perda sanguínea, dá entrada no centro cirúrgico em choque.
13 JANEIRO 2022

Paciente hipertenso mal controlado procura atendimento com dor na perna. Refere já ter dor na perna de longa data. Qual o diagnóstico?
28 OUTUBRO 2021

Mais uma diretriz foi lançada no congresso da ESC 2021, agora abordando a terapia com marca-passo e ressincronizador.
31 AGOSTO 2021

O ESC 2021 vem trazendo algumas novidades no campo da cardiologia. Um dos guidelines novos foi o de valvopatias.
28 AGOSTO 2021

Um estudo de base de dados decidiu comparar a segurança e os efeitos adversos das IECA e BRA no tratamento da hipertensão.
4 AGOSTO 2021