
A revascularização do miocárdio percutânea ou cirúrgica é uma das intervenções terapêuticas mais realizadas no mundo e apresentam bons resultados clínicos a curto e longo prazo. No entanto, mesmo com o avanço e das técnicas e dos materiais, com uso de stents farmacológicos e enxertos arteriais,
6 JULHO 2020

Além do AAS, atualmente temos mais 3 antiplaquetários orais para tratamento da doença coronariana: clopidogrel, prasugrel e ticagrelor. Mas qual eu devo utilizar e em quais situações? Para facilitar essa escolha, fizemos o resumo abaixo nos principais quadros clínicos e o que é recomendado pelas diretrizes. E no final do texto, colocamos nossa sugestão em dois cenários clínicos especificamente.
18 SETEMBRO 2019

Você está atendendo um paciente com fibrilação atrial não-valvar e que tem indicação de anticoagulação. Entre os 4 novos anticoagulantes orais (NOACs) ou também chamados de anticoagulantes orais diretos (DOACs) disponíveis no mercado, qual deles escolher? Qual deles é o melhor?
16 SETEMBRO 2019

No post anterior discutimos a definição, prevalência, quadro clínico e diagnóstico / investigação de ponte miocárdica. Para discutirmos o tratamento, precisamos entender alguns fatores que podem estar associados ou que possam contribuir para o desenvolvimento dos sintomas ou isquemia em pacientes com ponte miocárdica.
27 JUNHO 2018

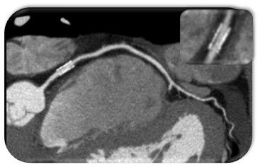
O músculo cardíaco é irrigado pelas artérias coronárias, que são vasos epicárdicos. Ponte miocárdica é uma anomalia congênita na qual um segmento da artéria coronária percorre um trajeto intramiocárdico com extensão e profundidade variáveis, ao invés de percorrer o seu trajeto epicárdico normal.
25 JUNHO 2018

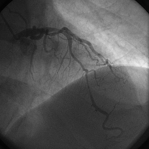
Frequentemente, quando vemos laudos de cinecoronariografias ou angioplastias coronarianas, nos deparamos com a descrição de uma artéria coronariana, seguido de “fluxo TIMI 0, 1, 2 ou 3”. Mas o que é isso? Como é feita essa graduação?
27 ABRIL 2018