
28 ABRIL 2025

25 MARÇO 2025

25 OUTUBRO 2024

24 OUTUBRO 2024

Una pregunta frecuente en la práctica clínica de cardiología es cuándo debemos solicitar el examen de resonancia magnética cardíaca. A continuación enumeramos las principales indicaciones del método.1…
13 DEZEMBRO 2021
Una pregunta frecuente en la práctica clínica de cardiología es cuándo debemos solicitar el examen de resonancia magnética cardíaca. A continuación enumeramos las principales indicaciones del método.1…
13 DEZEMBRO 2021

La estratificación de riesgo de arritmias ventriculares y muerte súbita en pacientes con miocardiopatía dilatada no isquémica (MCPD) se basa tradicionalmente en la evaluación de la fracción de eyecció…
11 NOVEMBRO 2021

La estratificación de riesgo de arritmias ventriculares y muerte súbita en pacientes con miocardiopatía dilatada no isquémica (MCPD) se basa tradicionalmente en la evaluación de la fracción de eyecció…
11 NOVEMBRO 2021

A estratificação de risco para arritmias ventriculares e morte súbita em pacientes com cardiomiopatia dilatada não isquêmica (MCPD) se baseia tradicionalmente na avaliação fração de ejeção do ventrícu…
11 AGOSTO 2021

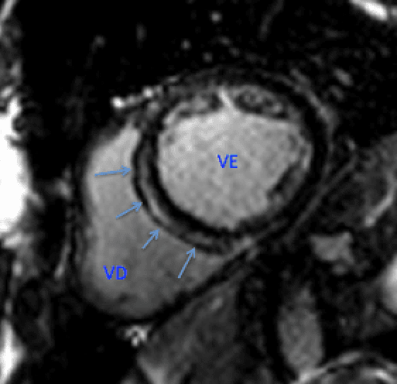
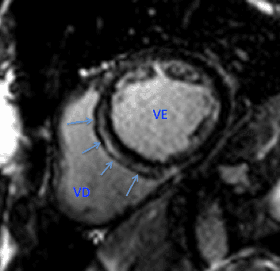
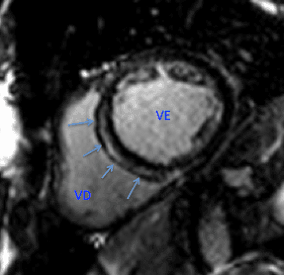
La Miocardiopatía Arritmogénica del Ventrículo Derecho (MAVD) es una enfermedad hereditaria que se caracteriza por el reemplazo progresivo de tejido fibro- grasoso, predominantemente en el ventrículo …
8 MAIO 2021