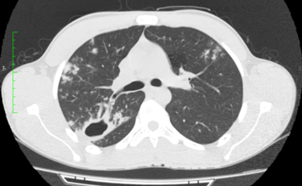
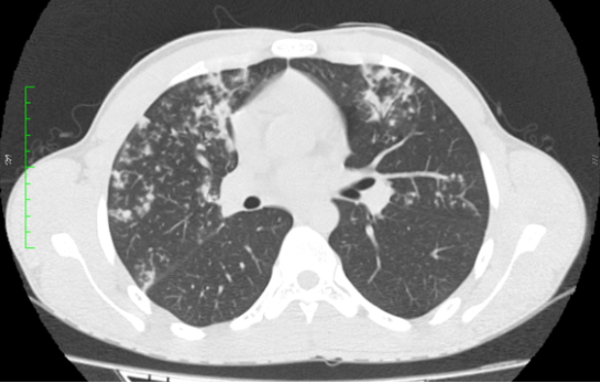
Paciente sexo masculino, 18 anos, sem comorbidades, com quadro arrastado de febre e perda ponderal há cerca de três meses. Foi realizado radiografia de tórax (não disponibilizada), com laudo inconclusivo. Optou-se por prosseguir investigação com tomografia computadorizada do tórax.
Diante das imagens, qual a melhor descrição e a principal hipótese diagnóstica?
ANódulos randômicos associado a lesão expansiva, escada, no lobo superior direito – implantes secundários
BNódulos randômicos associado a lesão expansiva, escada, no lobo superior direito – carcinoma escamoso de pulmão
CEscavação de paredes espessadas no lobo superior direito e nódulos com distribuição centrolobular dispersos pelo parênquima – tuberculose
DEscavação de paredes espessadas no lobo superior direito e nódulos com distribuição centrolobular dispersos pelo parênquima – aspergilose broncopulmonar alérgica
Autoria

Elazir Mota
Graduada em Medicina pela Universidade Federal do Rio de Janeiro- UFRJ. Residência médica em Radiologia e diagnóstico por imagem na Universidade Federal do Rio de Janeiro- UFRJ. Especialização em Radiologia Pediátrica em 2018. Médica radiologista pediátrica no Hospital Municipal Jesus, Instituto Fernandes Figueira (IFF) e Instituto de Puericultura e Pediatria Martagão Gesteira (IPPMG).
Como você avalia este conteúdo?
Sua opinião ajudará outros médicos a encontrar conteúdos mais relevantes.





