Paciente sexo masculino deu entrada na emergência com piora súbita da dispneia, iniciada há cerca de 12 horas. Refere doença de base, em acompanhamento ambulatorial, no entanto queixa-se de piora importante na dispneia.
Ao exame físico paciente normocorado, eupneico, taquicárdico e com saturação normal em ar ambiente.
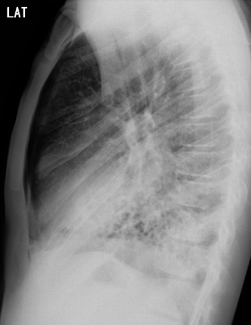
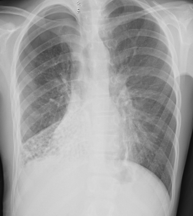
Foi solicitada radiografia do tórax em AP e perfil.
Diante das imagens, qual achado pode ser responsável pela piora súbita na dispneia?
APneumomediastino
BPequeno pneumotórax à direita
CPsicogênica. Não há achados de imagem que justifiquem a piora da dispneia
DPneumonia em base direita
Autoria

Elazir Mota
Graduada em Medicina pela Universidade Federal do Rio de Janeiro- UFRJ. Residência médica em Radiologia e diagnóstico por imagem na Universidade Federal do Rio de Janeiro- UFRJ. Especialização em Radiologia Pediátrica em 2018. Médica radiologista pediátrica no Hospital Municipal Jesus, Instituto Fernandes Figueira (IFF) e Instituto de Puericultura e Pediatria Martagão Gesteira (IPPMG).
Como você avalia este conteúdo?
Sua opinião ajudará outros médicos a encontrar conteúdos mais relevantes.





