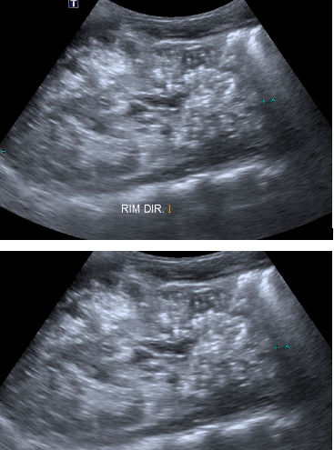
Lactente de um ano, sexo masculino, sem diagnóstico definitivo, realizou ultrassonografia de vias urinárias para avaliação de “rins aumentados” observado na ultrassonografia obstétrica, sem seguimento posterior. Paciente em acompanhamento recente com nefrologia, evoluindo com piora da função renal.
Diante dos achados de imagem, qual sua hipótese diagnóstica?
ARim multicístico displásico bilateral
BDoença policística autossômica recessiva
CDoença policística autossômica dominante
DNefroma mesoblástico
Autoria

Elazir Mota
Graduada em Medicina pela Universidade Federal do Rio de Janeiro- UFRJ. Residência médica em Radiologia e diagnóstico por imagem na Universidade Federal do Rio de Janeiro- UFRJ. Especialização em Radiologia Pediátrica em 2018. Médica radiologista pediátrica no Hospital Municipal Jesus, Instituto Fernandes Figueira (IFF) e Instituto de Puericultura e Pediatria Martagão Gesteira (IPPMG).
Como você avalia este conteúdo?
Sua opinião ajudará outros médicos a encontrar conteúdos mais relevantes.





