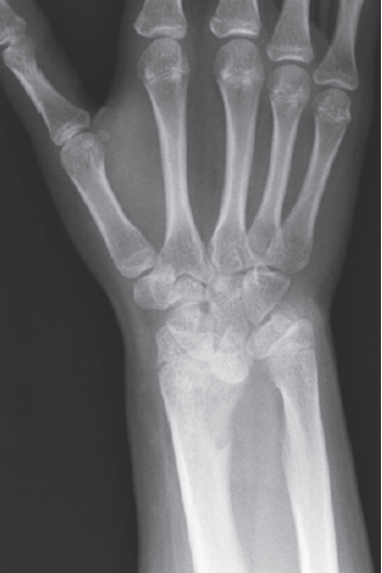
Mulher queixa-se de deformidade em punho e apresenta a seguinte radiografia.
Qual é o diagnóstico?
ADeformidade de Madelung
BPseudoartrose congênita do rádio
CSinostose radioulnar distal
DDeformidade de Kirner
Autoria

Giovanni Vilardo Cerqueira Guedes
Médico pela UERJ ⦁ Ortopedia e Cirurgia da Mão pelo INTO ⦁ Mestrando em Ciências Aplicadas ao Sistema Musculoesquelético (INTO)
Como você avalia este conteúdo?
Sua opinião ajudará outros médicos a encontrar conteúdos mais relevantes.





