Mulher, 58 anos, hipertensa e diabética em seguimento irregular, levada para atendimento de emergência referindo perda de força em membro superior e inferior esquerdos, além de certa dificuldade para falar e desvio de comissura labial. Sintomas iniciaram há 50 minutos, de forma aguda, não referindo quadros prévios.
Ao exame físico apresentava PA: 160×94 mmHg, FC: 94 bpm, FR: 15 irpm e SatO2: 97%. ACV: Ritmo cardíaco irregular, ictus globoso e desviado na linha axilar anterior, BNF e sem sopros. Aparelho respiratório sem alterações.
Exame neurológico: Lúcida e orientada. Fala disártrica. Presença de desvio de comissura labial para direita, padrão de paralisia facial central. Presença de parestesia em dimidio esquerdo. Diminuição de força em membro superior esquerdo (grau 2) e em membro inferior esquerdo (grau 3), com diminuição de reflexos e tônus. Dimidio direito sem alterações.
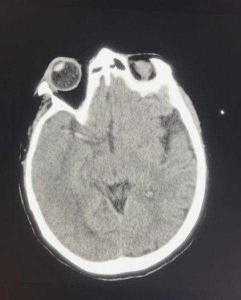
Pela importante suspeita clínica de acidente vascular cerebral, foi iniciado protocolo com realização de tomografia computadorizada, sem sangramentos e estando presente o seguinte achado:
Qual o sinal evidente da tomografia de crânio?
ASinal do delta vazio
BSinal de Cushing
CSinal de Westermark
DSinal da artéria cerebral média hiperdensa
Autoria

Johnatan Felipe Ferreira da Conceicao
Revisor médico do Portal PEBMED. Graduado em Medicina pela Universidade Federal Fluminense (UFF). Contato: [email protected] Instagram: @johnatanfelipef
Como você avalia este conteúdo?
Sua opinião ajudará outros médicos a encontrar conteúdos mais relevantes.




