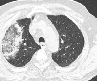
Paciente de 56 anos, submetido a transplante alogênico de medula óssea (TMO) há 45 dias, doador aparentado (irmão 52 anos, hígido), 9/10 (mismatch em DR), comparece ao hospital de referência que o transplantou com quadro de febre persistente de início há cinco dias, com temperatura axilar aferida de 38ºC e hemoptise. Quando questionado, refere tosse produtiva e dor torácica com característica pleurítica. O paciente em questão foi submetido ao TMO após segunda remissão completa de leucemia mieloide aguda, FLT3 positivo na recaída. O esquema de primeira linha utilizado foi o clássico ‘7 + 3’ (Citarabina + Daunorrubicina), enquanto o regime de salvamento foi IDAFLAG + Midostaurina. Como intercorrências durante o tratamento até este momento, o paciente apresentou neutropenia febril com foco em cateter de Hickmann e colite do neutropênico com tratamento eficaz através de antibioticoterapia. Quando recebeu alta do hospital, há 35 dias, não estava mais neutropênico porém manteve uso de ciclosporina como prevenção de doença enxerto-hospedeiro (GVHD). Não estava em uso de antimicrobianos ou antifúngicos profiláticos. Juntamente ao quadro pulmonar, o paciente referia diarreias aquosas em dez episódios ao dia com relato de muco, tendo sido feito o diagnóstico de GVHD agudo intestinal. Solicitado então tomografia de tórax com a imagem abaixo.
Qual o nome do sinal radiográfico observado e qual a suspeita diagnóstica?
ATuberculose pulmonar e infecção por micobactéria
BSinal do halo invertido e infecção fúngica por fungo filamentoso
C“Bola fúngica” e infecção por levedura
DSinal da crescente de ar e GVHD agudo pulmonar
Autoria

Felipe Mesquita
Médico pela Universidade Federal de Juiz de Fora (UFJF) ⦁ Residência em Clínica Médica e Hematologia pela UFMG ⦁ Título de Especialista em Hematologia e Hemoterapia pela Associação Brasileira de Hematologia e Hemoterapia (ABHH) ⦁ Membro da equipe de Transplante de Medula Óssea do Hospital Monte Sinai - Juiz de Fora(MG)
Como você avalia este conteúdo?
Sua opinião ajudará outros médicos a encontrar conteúdos mais relevantes.




